![]()
![]()
She added that the boy was “Potter syndrome free,” which according to the
Cleveland Clinic is a “rare condition that affects the growth and function of a baby’s kidneys and other internal organs. This condition is life-threatening for the baby and many infants have a short life expectancy.”
“My thought at that time was, ‘Well, if God is going to take my son, He will take me too!” Foster shared in a Facebook post, explaining her grief over losing her first son, Xavier. “It didn’t work out that way, and I developed a deep resentment and anger toward God. If that wasn’t enough, I was later told it was very unlikely I would ever have a healthy baby boy since Potter syndrome is more common in males.”
Foster and her husband Kyle later welcomed two healthy daughters, and then the couple had their first son, baby Jay in August 2022.
‘Pray over Kyler’
Fast forward to today and the mother of three is again pregnant with another boy, who they’re calling Kyler.
But early in this pregnancy, doctors found a serious heart defect – an aortic septum abnormality that could threaten his life.
As she approached her end of May scan in her high-risk pregnancy, Foster writes in a Facebook post that “each time before ultrasounds I’ve dropped to my knees right in the doctor’s office to pray over Kyler.”
“In my prayers for him I’ve asked the lord repeatedly to please keep his hand on my baby and whatever his plan may be to help me trust fully in it at ease.”
‘Hand’ on her baby
Joining her at the appointment was her daughter Bailey – who she hoped would ease the nerves that had followed her through this pregnancy.
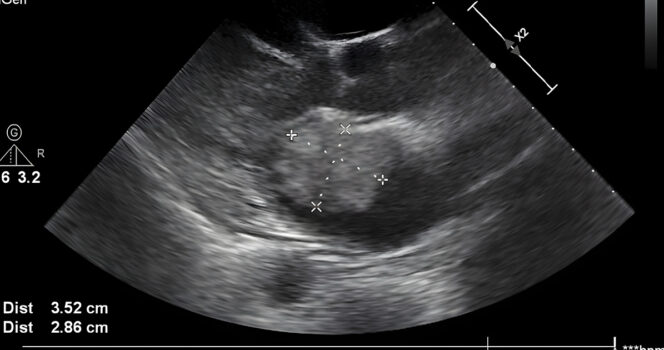
But the nerves quickly turned to shock when the young girl noticed something peculiar in the image.
“I had an ultrasound yesterday, my youngest daughter Bailey was the first to notice it and asked me whose hand that was,” she writes in her now viral Facebook post. The post also includes a black and white image of the ultrasound, showing what she believes to be a divine presence of a giant hand cradling her son’s head. She adds: “In one of his pictures it has the appearance of a hand holding his head.”
She adds that the sight of the hand allegedly supporting Kyler’s head brought her to “tears” over “all [God] has and continues to do for me. And I couldn’t ever fathom a thought of living without [God] in my life!”
‘Chunky boy’
On June 20, she shared another social media post, announcing that at 36 weeks, her healthy baby boy is over 7 pounds.
She writes, “Our chunky boy is going to be the biggest baby I’ve officially ever had. Today they monitored his practice breathing. All together his measurements are a week and a half ahead. His heart rate was 132 today. His sweet little face, I cannot wait to have him in my arms!”
For Amanda Foster, this ultrasound is more than just an image. It’s a reminder that even after loss, anger, and despair – healing is possible.